Need tooth extraction in Dubai?
With gentle tooth removal, fast pain relief, and a clear recovery plan you can feel normal again.
Most teeth are extracted when necessary. White Swan teeth Clinic provides painless, planned teeth extractions with suitable anesthesia, skilled technique, and honest guidance
Because we’re located in Business Bay, Dubai, we treat many patients from the UAE and wider GCC who want quick appointments, transparent pricing, and a smooth experience. Whether you work in Downtown, DIFC, or commute from Sharjah, we keep the process simple and time-friendly—especially if you’re busy, ya.
What Is Tooth Extraction?
Tooth extraction means removing a tooth from the socket in the jaw bone. It may be:
- Simple extraction
- Surgical extraction
We always try to save the food. But if it is not working in the long term, removal is the healthiest choice.
Common Reasons for Tooth Extraction
You may need a tooth removal if you have:
- Deep decay that can’t be restored with a filling or crown
- Severe infection or abscess that doesn’t respond to treatment
- A cracked tooth below the gum line
- Advanced gum disease causing loose teeth
- Overcrowding before braces
- Baby teeth that don’t fall out and block adult teeth
- Impacted or problematic teeth
Signs You Might Need an Extraction
Not every toothache means extraction. However, if you notice any of these, book an exam:
- Constant throbbing pain
- Swelling in gum or face
- Pus or bad taste in mouth
- Tooth feels loose or “moving”
- Pain when chewing even on soft food
- Cracked tooth with sharp edges
- Repeated infection in the same tooth
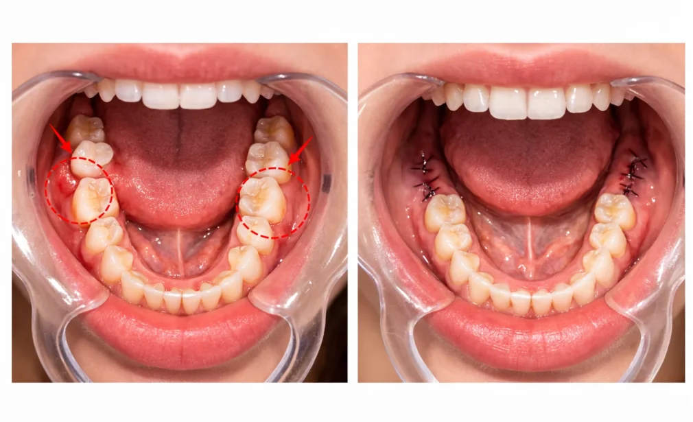
Types of Tooth Extraction We Provide
1) Simple Tooth Extraction
Best for: visible teeth, mild to moderate damage
How it’s done: numbing + gentle loosening + removal
Typical time: 10–20 minutes
2) Surgical Tooth Extraction
Best for: broken teeth, teeth below gum, difficult roots
How it’s done: numbing (and sedation options if needed) + careful access
Typical time: 20–45 minutes
Tooth Extraction vs Root Canal: Which Is Better?
Many patients ask this first—and honestly, it depends.
If a tooth could be saved with a root canal it will keep your bite stable. But if your bone is weak,tooth extraction will be the safest option.
Quick Comparison
| Option | Goal | Best When | Next Step |
| Root canal | Save tooth | Tooth structure is still strong | Crown usually needed |
| Tooth extraction | Remove problem tooth | Tooth can’t be saved or infection keeps returning | Replace tooth (implant/bridge/denture) if needed |
Tooth Extraction Cost in Dubai (AED Guide)
Prices are based on tooth type, root shape, infection level, and whether it’s simple or surgical. Following details are the estimated range in Dubai.
Estimated Cost Table (AED)
| Service | Typical Range (AED)* | Notes |
| Consultation | 150 – 300 | May vary |
| Dental X-ray (per tooth / area) | 80 – 250 | Depends on imaging |
| Simple tooth extraction | 250 – 700 | Front tooth or easy molar |
| Surgical tooth extraction | 700 – 2,000+ | Broken tooth / difficult roots |
| Stitches (if needed) | Often included | Case dependent |
| Medications (if required) | 60 – 250 | Pain relief / antibiotics |
| Socket preservation graft (optional) | 900 – 2,500+ | Helps future implant planning |
*These are estimated ranges. We confirm the accurate price after the test and X-ray.
How Long Does a Tooth Extraction Take?
| Extraction Type | Procedure Time | Comfort Recovery |
| Simple extraction | 10–20 minutes | 2–7 days |
| Surgical extraction | 20–45 minutes | 5–14 days |
Healing continues internally for a few weeks. Still, most people feel “okay” much sooner.
What Happens During Tooth Extraction? (Step-by-Step)
We keep the steps clear, so you feel in control:
- Examination + X-ray to confirm the best option
- Numbing
- loosening of the tooth
- Tooth removal
- Cleaning the socket to reduce infection risk
- Stitches if necessary
- Gauze pressure to stop bleeding
- Aftercare instructions + follow-up plan
You may feel pressure, but you should not feel sharp pain. If you feel pain, tell us—immediately we adjust.
Does Tooth Extraction Hurt?
During the procedure you will not feel the pain. But after the procedure mild pain is normal for 48 hours.
Also, swelling can happen. That’s not unusual. With good aftercare, it settles faster.
Tooth Extraction Aftercare (Do This, It Helps a Lot)
Good care prevents complications like dry socket and infection.
First 24 Hours
- Bite on gauze as advised
- Rest, keep head slightly elevated
- Give a Cold compress
- Eat soft foods
- Avoid smoking
- Don’t rinse forcefully and don’t spit hard
From Day 2
- Warm salt-water rinses
- Brush carefully, avoid poking the socket
- Continue soft foods and slowly return to normal
- Drink plenty of water
What Not to Do (To Avoid Dry Socket)
When the blood clot comes loose too soon, a dry socket develops, and the pain gets worse.
Avoid:
- Smoking
- Drinking with straw
- Forceful spitting
- Crunchy foods (nuts, chips) in early days
- Heavy gym workouts for 24–48 hours
Possible Risks & Side Effects (Honest and Simple)
Most extractions heal well. Still, possible issues include:
- Bleeding for a few hours
- Swelling and mild bruising
- Jaw stiffness
- Dry socket (less common)
- Infection (rare with proper care)
- Temporary numbness (rare, depends on tooth location)
We reduce risk with good imaging, clean technique, and proper instructions.
Replacing a Tooth After Extraction (If Needed)
Not every extracted tooth needs replacement right away, but many do—especially visible teeth and chewing teeth.
Options after tooth removal
- Dental implant
- Dental bridge
- Partial denture
We will help you based on your bite, budget, and long-term plan.
Emergency Tooth Extraction in Business Bay
If you have severe pain and swelling,you should not wait for a long time. We provide quick appointments for urgent cases, based on their schedule.
Why Choose White Swan Dental Clinic in Business Bay, Dubai?
- Clear communication
- Modern diagnostics and careful planning
- Transparent AED pricing guidance
- Step-by-step aftercare support
- Easy access for Business Bay, Downtown, DIFC, and nearby areas
F.A.Q : Tooth Extraction
01. How much does tooth extraction cost in Dubai?
It is around AED 400–900 for simple extraction and AED 1,000–2,500+ for surgical or impacted removal, based on complexity.
02. Is tooth extraction painful?
No,wisdom teeth removal is painless because during the process the area is numbed.After 3 days you might feel mild pain.
03. How long does it take to heal after tooth extraction?
Most people feel better in 2–7 days (simple extraction). Surgical cases may take 5–14 days for comfort recovery.
04. What can I eat after tooth extraction?
Soft foods such as yogurt, soup, mashed potato, eggs, and soft rice are good for the first days.
05. What is a dry socket and how do I prevent it?
When the blood clot is lost,a dry socket happens. to prevent it you need to avoid smoking, straws, spitting, and hard foods.
06. Can I go to work the next day after extraction?
Patients often work the day after an extraction. Surgical patients can take 1-2 days off.
07. Do I need antibiotics after tooth extraction?
Yes,not always. Antibiotics are given if you have infection risk or swelling.
08. How long does bleeding last after extraction?
Light bleeding might last a few hours. If heavy bleeding continues, consider a dentist.
09. Can I smoke after tooth extraction?
You should avoid smoking for 72 hours because it increases dry socket risk.
10. Do I need stitches after tooth extraction?
Yes,surgical extractions need stitches.
11. When can I brush my teeth after extraction?
You can brush the same day, but avoid the extraction area.
12. Should I replace a tooth after extraction?
Often yes, especially for chewing teeth and visible teeth. Options include implant, bridge, or partial denture.

